
do treści poradnika, który wspomaga stomatologów w ich codziennej pracy.

Kategoria: 2.1 Korekty nieinwazyjne
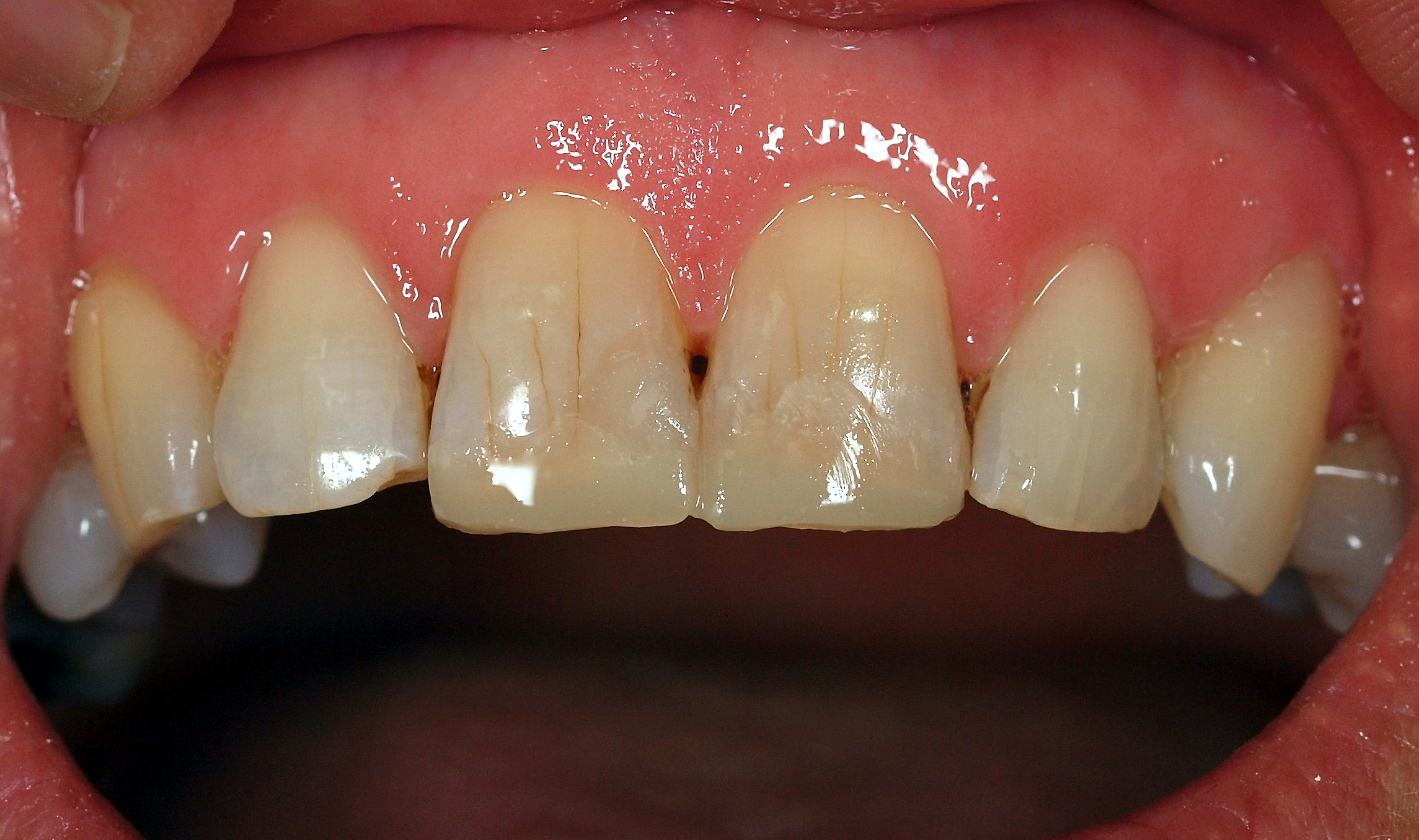
Pacjentka z przebarwionymi uszkodzeniami siekaczy centralnych szczęki i żuchwy zgłosiła się w celu dokonania korekty kształtu i zabarwienia. Pomimo znanej etiologii przebarwień nie deklarowała ograniczenia nałogu palenia. Podjęto działania mające na celu ustalenie estetycznej i funkcjonalnej formy kształtu siekaczy szczeki. Wykonano rekonstrukcję adaptacyjną. W oparciu o zaakceptowany i zweryfikowany przez kilka dni kształt stworzono indeks silikonowy, na podstawie którego wykonano odbudowę z częściowym licowaniem siekaczy centralnych szczęki. Kolejnym etapem była odbudowa siekaczy żuchwy, ta jednak nie stanowiła już istotnego dla pacjentki etapu leczenia. Efekt uznano za zadowalający przy uznaniu miernej estetyki 31 i 41 uzyskanej korektą nieinwazyjną. Niepełne maskowanie przebarwień na siekaczach szczęki było efektem zamierzony. Uzyskanie maskowania barwy siekaczy żuchwy wymagało jednak opracowania, a tego postanowiono uniknąć.