Uzyskaj dostęp

do treści poradnika, który wspomaga stomatologów w ich codziennej pracy.

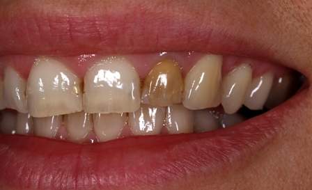
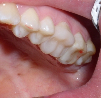
Przypadki kliniczne

1. MATERIAŁY KOMPOZYTOWE – Wprowadzenie
2. WYPEŁNIENIA PLASTYCZNE
3. WYPEŁNIENIA NIEPLASTYCZNE
4. ODBUDOWA ZĘBÓW PO LECZENIU ENDODONTYCZNYM
5. NAPRAWA I USUWANIE WKŁADÓW KORONOWO-KORZENIOWYCH
6. MOSTY KOMPOZYTOWE
7. PROFILAKTYKA
8. ZABIEGI ENDODONCJI KONWENCJONALNEJ
8/1 . Diagnostyka i leczenie
Ten serwis używa plików cookies zgodnie z Polityką Cookies. Brak zmiany ustawienia przeglądarki oznacza jej akceptację.