
do treści poradnika, który wspomaga stomatologów w ich codziennej pracy.

Przypadek 13
Kategoria: 2.2 Wypełnienia i rekonstrukcje
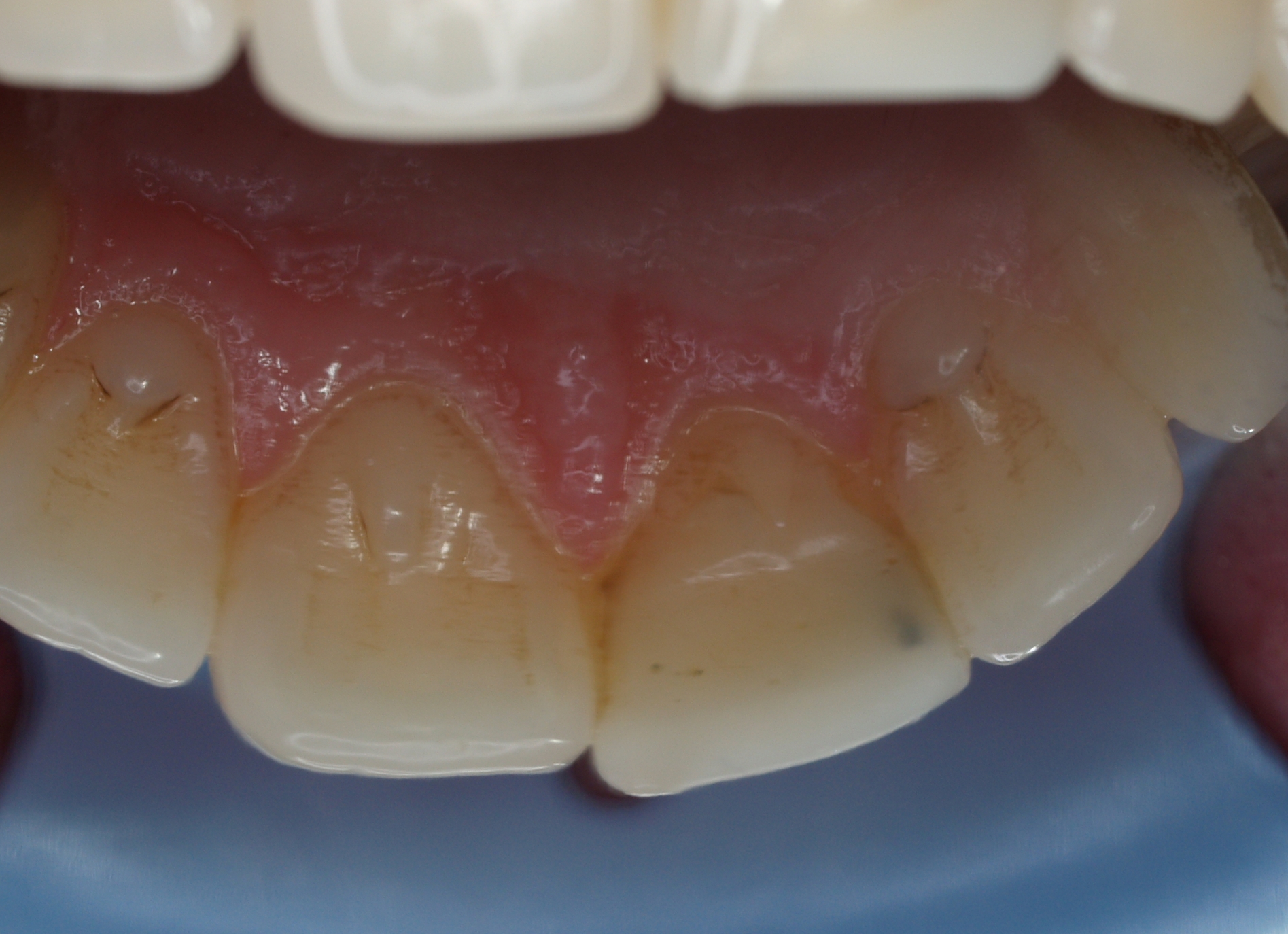
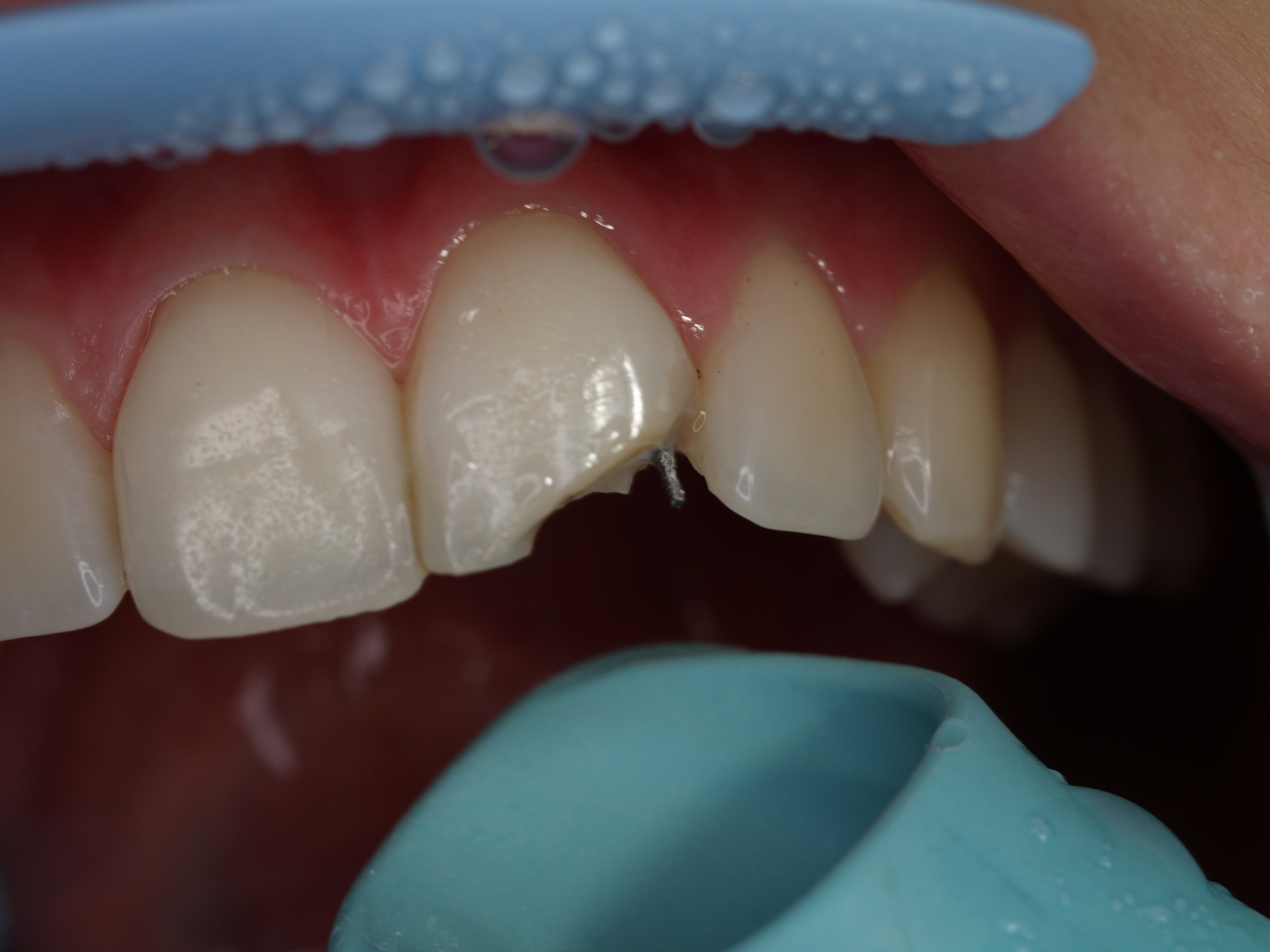
Nieestetyczne wypełnienie w zębie 21 skłoniło pacjentkę do jego wymiany. Podczas badania stwierdzono obecność ćwieka okołomiazgowego. W oparciu o ustalony kształt wypełnienia wykonano indeks silikonowy z materiału przezroczystego PempSpan™. Po usunięciu wypełnienia podjęto próbę usunięcia ćwieka. Niestety, ukręcił się u podstawy. Oceniając warunki kolorystyczne i ewentualne uszkodzenia, jakie mogą powstać podczas wywiercania zachowanego fragmentu, w porozumieniu z pacjentką odstąpiono od usuwania złamanego fragmentu. Na matrycy silikonowej odbudowano ścianę podniebienną, a w oparciu o pasek szkliwo powierzchni dystalnej. Następnie wymodelowano dwoma warstwami zębiny kształt jej wypustek – mamelonów. Warstwę zewnętrzną wymodelowano z masy szkliwnej, tworząc pewien nadmiar długości. Po polimeryzacji krążkami ostrożnie skorygowano długość brzegu siecznego i kształt powierzchni dalszej. Całość starannie wypolerowano. Efekt estetyczny został zaakceptowany przez pacjentkę.