
do treści poradnika, który wspomaga stomatologów w ich codziennej pracy.

Przypadek 4
Kategoria: 2.3 Licówki kompozytowe
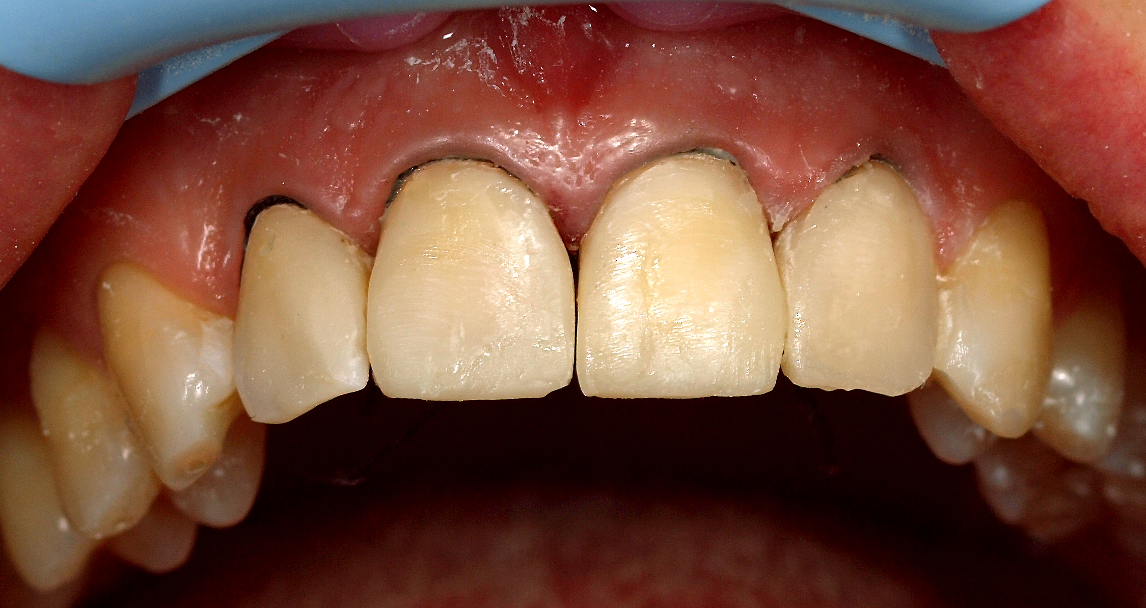
Wymiana licówek kompozytowych na ceramiczne to dla wielu osób postępowanie naturalne, natomiast zastąpienie ceramicznych kompozytowymi musi mieć szczególne uzasadnienie. Młoda pacjentka zgłosiła się na wizytę. Badaniem zwrócono uwagę na nawisy cementu przy licówkach 11 i 21. Pacjentka powiedziała odruchowo, że to z powodu doklejania ich w domu. Podczas dalszej rozmowy potwierdziły się podejrzenia, że pacjentem jest stomatolog. Przyczyną wielokrotnego „uwalniania” się licówek był zdiagnozowany bruksizm. Ustalono wymianę częściowo uszkodzonych licówek na kompozytowe i leczenie choroby przyczynowej. Po usunięciu pozostałości cementu i materiału wypełnień przystąpiono do modelowania materiału – Filtek Ultimate. Uzyskany efekt w opinii autora nie był tak wyrafinowany jak wcześniejsze licówki ceramiczne, ale został przyjęty z zadowoleniem.