
do treści poradnika, który wspomaga stomatologów w ich codziennej pracy.

Przypadek 5
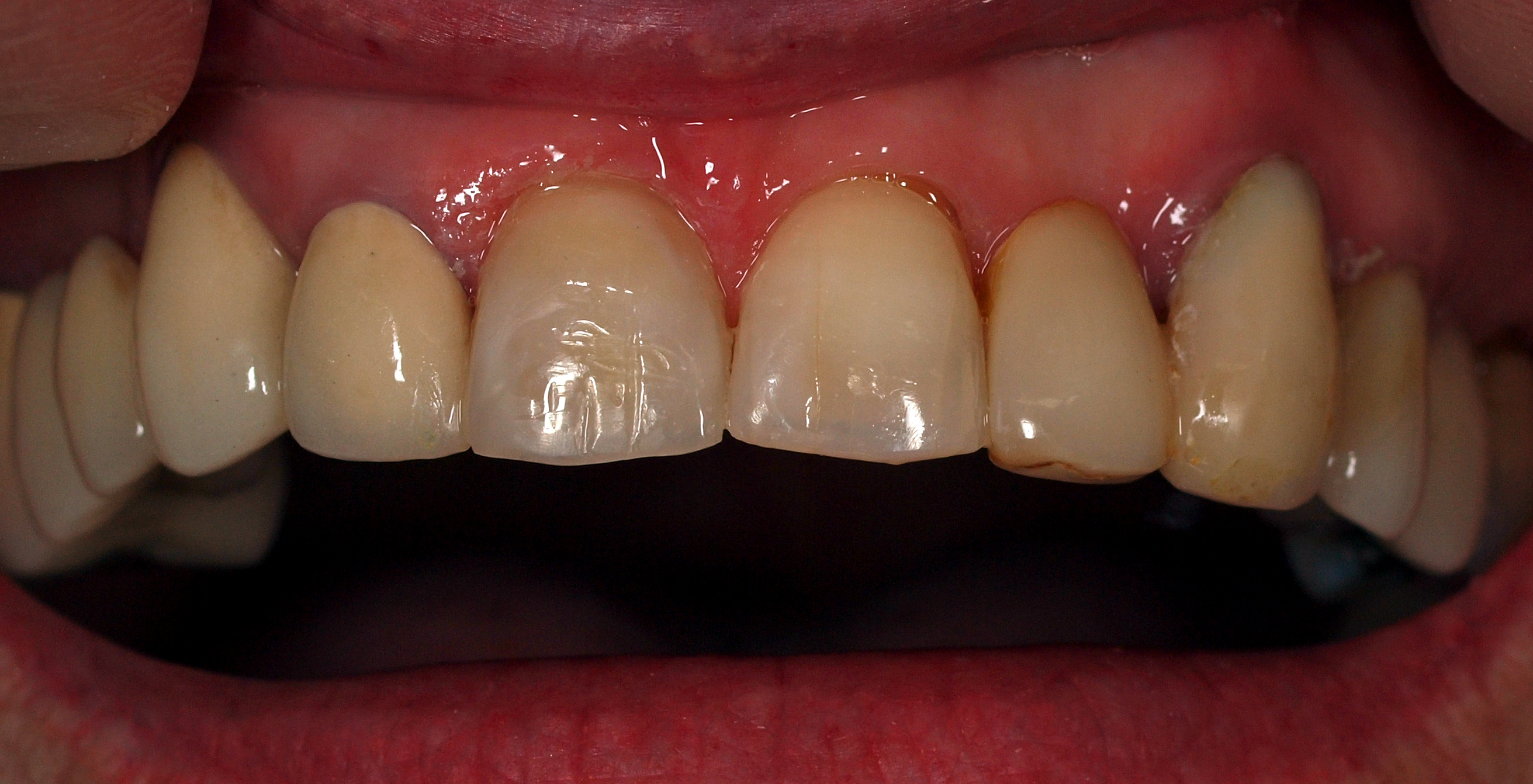
Kategoria: 2.3 Licówki kompozytowe
Pacjentka z licznymi istotnymi potrzebami leczniczymi za największa bolączkę uważała nieznacznie ciemniejsze zabarwienie korony 11. Faktycznie jest to wina nienaturalni jasnych zębów w moście oraz nieznacznego cofnięcia korony i gorszego jej doświetlenia. Zaproponowano korektę w postaci cieniutkiej licówki kompozytowej. Po nieznacznym opracowaniu wykonano licówkę z mas szkliwnych materiału Filtek Ultimate. Fakturę modelowano pędzelkiem w ostatniej warstwie, którą była masa transparentna. Rozjaśnienie i przesunięcie do przodu powierzchni refleksyjnej zapewniło oczekiwany efekt. Intensywna faktura dopełnia naturalnego dla pacjentki wyglądu.