
do treści poradnika, który wspomaga stomatologów w ich codziennej pracy.

Kategoria: 4. ODBUDOWA ZĘBÓW PO LECZENIU ENDODONTYCZNYM
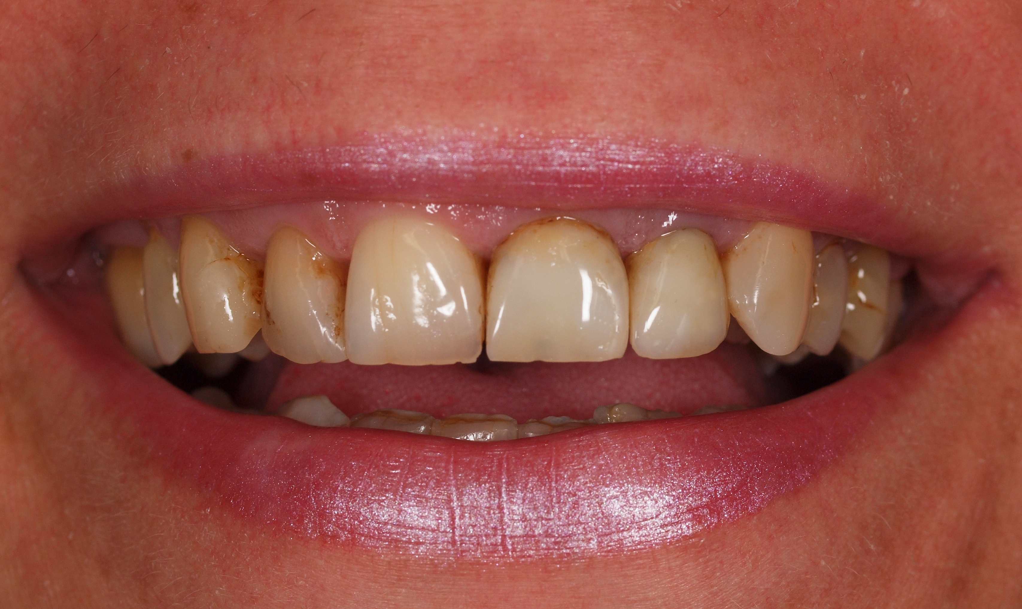
Pacjentka niezadowolona z wyglądu rekonstrukcji zębów 21 i 22. Zęby były odbudowane około 10 lat wcześniej po ich urazowym uszkodzeniu. Do odbudowy siekacza bocznego wykorzystano wkład mosiężny. Badanie radiologiczne wskazywało na głębokie osadzenie wkładu w relatywnie wąskim korzeniu. Po usunięciu materiału rekonstrukcji podjęto próbę usunięcia wkładu. Jednak już na wstępie uznano zabieg za obarczony wysokim ryzykiem. Po uzgodnieniu szczegółów ustalono wykonanie nowej rekonstrukcji na zachowanym wkładzie. Uzyskany dostęp pozwolił na opracowanie i wypełnienie ubytku na powierzchni bliższej 23. Rdzeń korony 22 wykonano z materiału Filtek Z 250, a do licowania zastosowany został Filtek Ultimate. Jednoczasowo wykonano licówkę na 21. Efekt został zaakceptowany przez pacjentkę. Wizyta kontrolna po dwóch latach potwierdza zachowanie walorów rekonstrukcji, pacjentka jednak nie kontynuuje leczenia.