
do treści poradnika, który wspomaga stomatologów w ich codziennej pracy.

Przypadek 5.
Kategoria: 4. ODBUDOWA ZĘBÓW PO LECZENIU ENDODONTYCZNYM
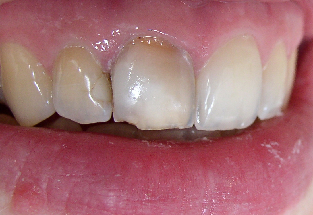
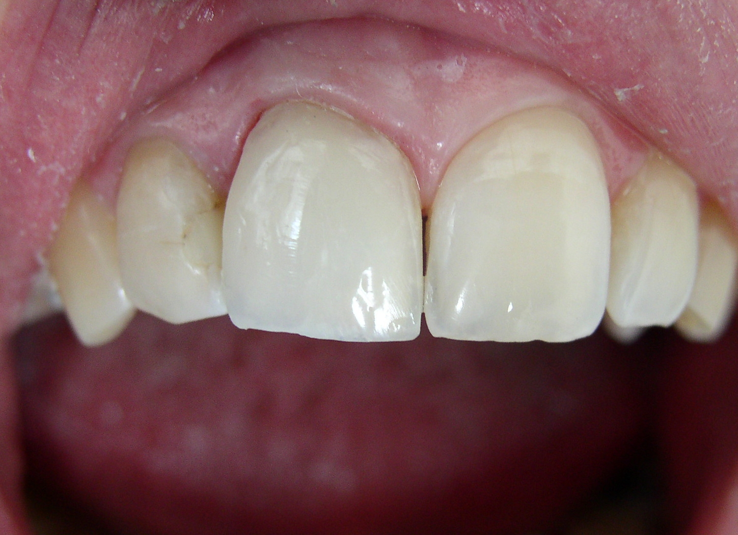
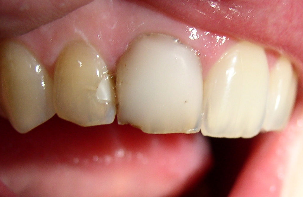
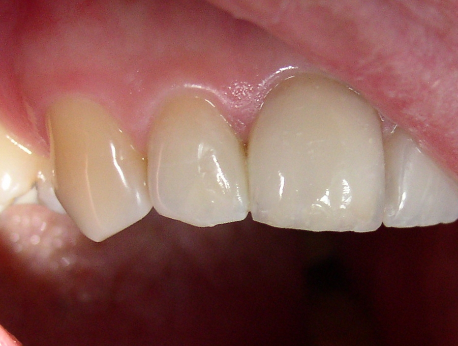
Pacjentka w trakcie leczenia endodontycznego 12 w innym gabinecie zgłosiła się w celu korekty wyglądu zęba 11. Niezadowolona z dotychczasowych prac protetycznych prosiła o odbudowę zachowawczą. Diagnostyka potwierdziła przebyte leczenie endodontyczne zęba 11. Po przeprowadzonym wybielaniu wewnątrzkomorowym i okresie niezbędnym do neutralizacji przystąpiono do rekonstrukcji. Usunięcie materiału kompozytowego ukazało poważny zakres uszkodzeń. Zgodnie z planem osadzono wkład RelyX Fiber Post i wykonano rekonstrukcję rdzenia materiałem Z 250. Następnie przy użyciu kompozytu Filtek Supreme XT odbudowano koronę kliniczną. Po zakończeniu leczenia endodontycznego zęba 12 wykonano odbudowę z wkładem, zachowując szkliwo na powierzchni wargowej.