
do treści poradnika, który wspomaga stomatologów w ich codziennej pracy.

Przypadek 11.
Kategoria: 4. ODBUDOWA ZĘBÓW PO LECZENIU ENDODONTYCZNYM
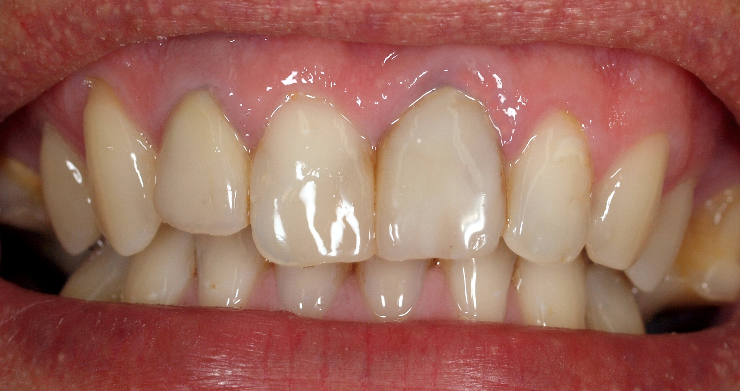
Pacjent zgłosił się w celu korekty wyglądu zębów. Badanie RTG potwierdziło poprawność leczenia endodontycznego 12 i 21. Zasięg rekonstrukcji 21 uniemożliwiał jednak ocenę zakresu istniejącego uszkodzenia. Etap pierwszy to rekonstrukcja siekacza bocznego na wkładzie standardowym. Po potwierdzeniu uzyskanej zgodności kolorystycznej na drugiej wizycie podjęto rekonstrukcję zęba 21. Stopień zniszczenia i współistniejące braki spowodowały uznanie warunkowego charakteru prowadzonej rekonstrukcji. Jak potwierdza zdjęcie wykonane po trzech latach, pomimo braku odbudowy bocznych stref podparcia pacjent zachował obie rekonstrukcje.