
do treści poradnika, który wspomaga stomatologów w ich codziennej pracy.

Kategoria: 2.1 Korekty nieinwazyjne
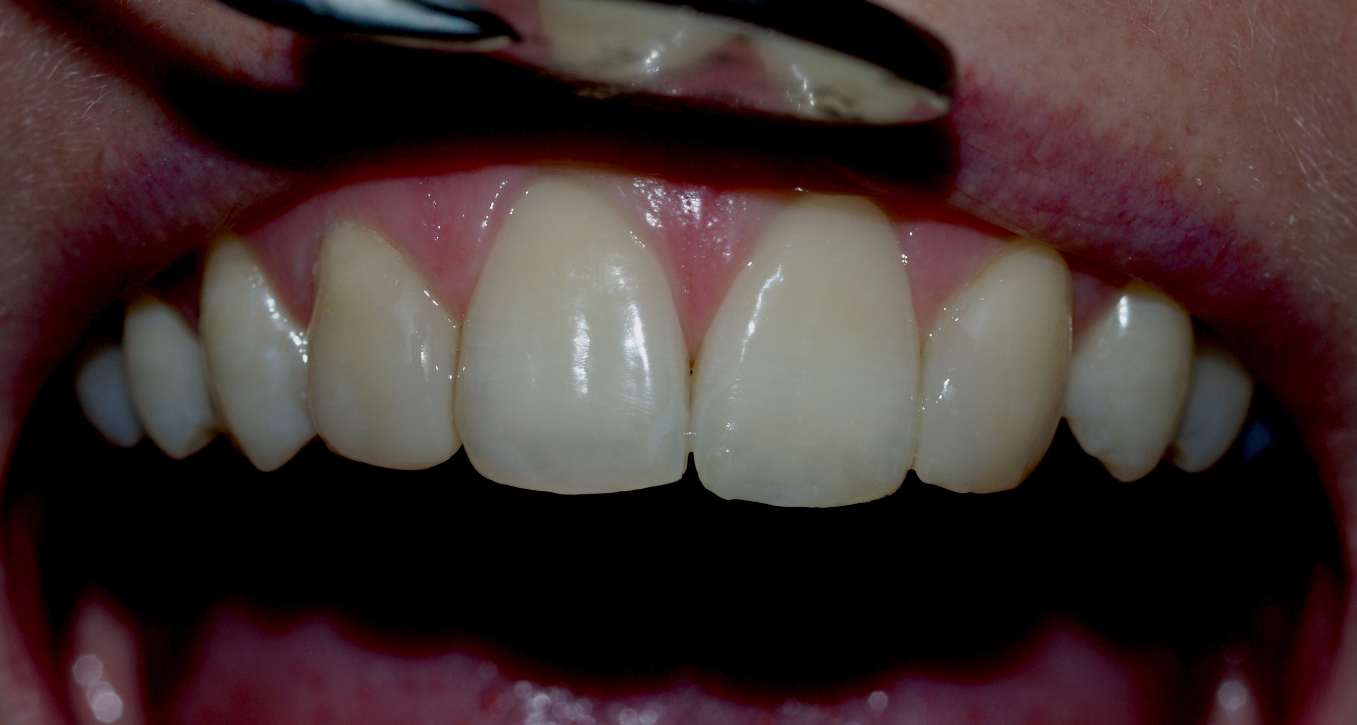
Pacjentka z wrodzonym brakiem zawiązków siekaczy bocznych szczęki zgłosiła się w celu określenia możliwości korekty kształtu zębów. Celem zabiegu miało być przeobrażenie kłów szczęki w celu upodobnienia do brakujących siekaczy bocznych. Kształt pierwszych przedtrzonowców doskonale imitował kły. Niewielki rozmiar koron klinicznych 13 i 23 dawał szansę na dokonanie zabiegu w sposób nieinwazyjny. Zabieg przeprowadzono metodą modelowania bezpośredniego techniką opuszki palca z wykorzystaniem materiału Enamel Plus HFO. Podczas zabiegu dokonano jednoczasowo korekty uszkodzonego wypełnienia w zębie 21. Zastosowanie jaśniejszego materiału szkliwnego i delikatne podbarwienie pozwoliło na uzyskanie w pełni zaakceptowanego przez pacjentkę efektu.