do treści poradnika, który wspomaga stomatologów w ich codziennej pracy.
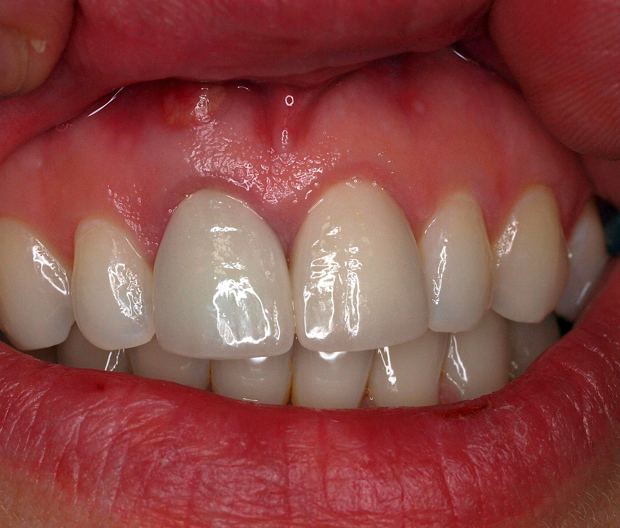
Przypadek 1.
Kategoria: 5. NAPRAWA I USUWANIE WKŁADÓW KORONOWO-KORZENIOWYCH
Chcesz zobaczyć przykładowy rozdział?
Zostaw e-mail a my wyślemy Ci link do Twojej wersji demonstracyjnej