Uzyskaj dostęp

do treści poradnika, który wspomaga stomatologów w ich codziennej pracy.

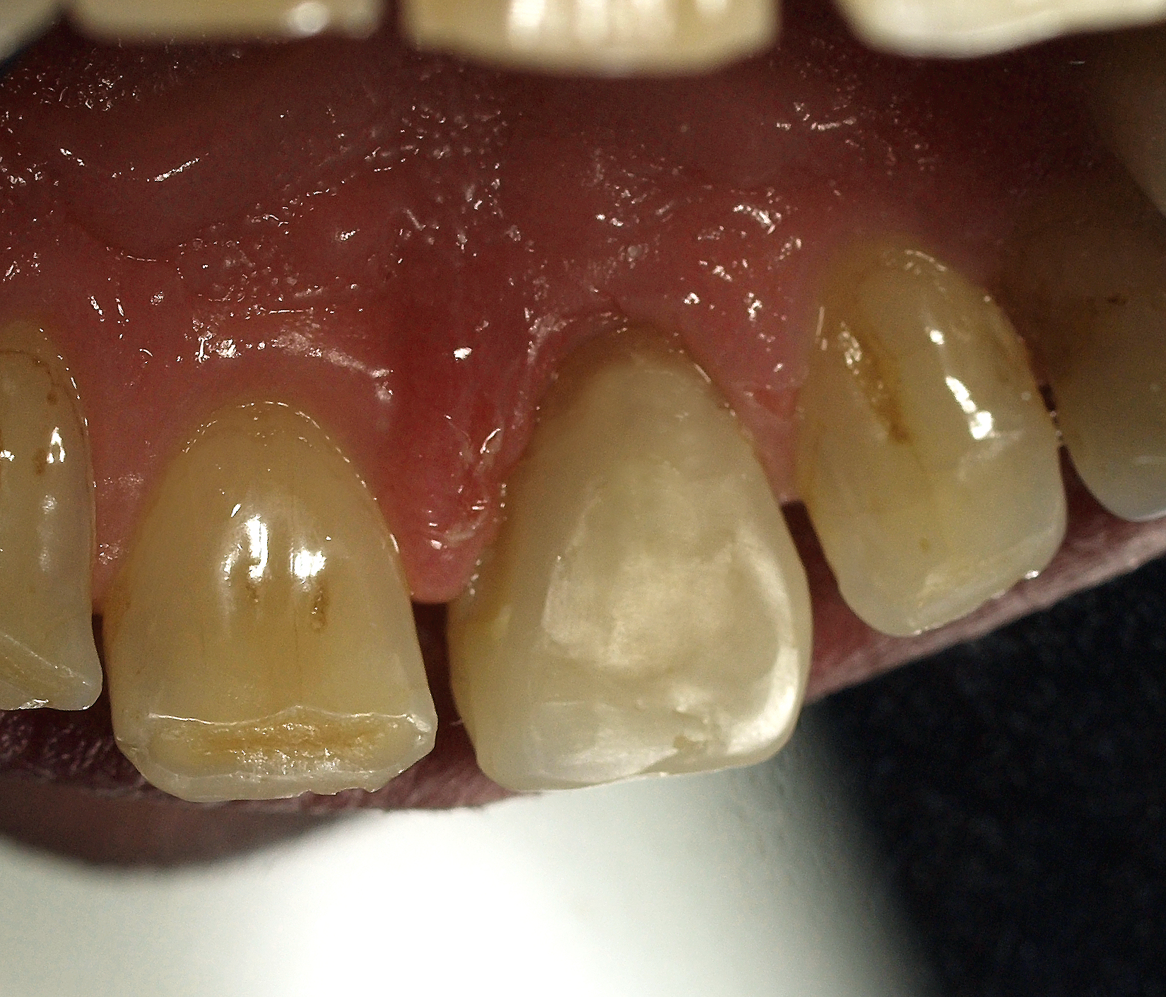
Przypadek 1

Kategoria:     4.10 Uszkodzenia urazowe

Warunkowa rekonstrukcja kompozytowa.



























Ten serwis używa plików cookies zgodnie z Polityką Cookies. Brak zmiany ustawienia przeglądarki oznacza jej akceptację.