Uzyskaj dostęp

do treści poradnika, który wspomaga stomatologów w ich codziennej pracy.

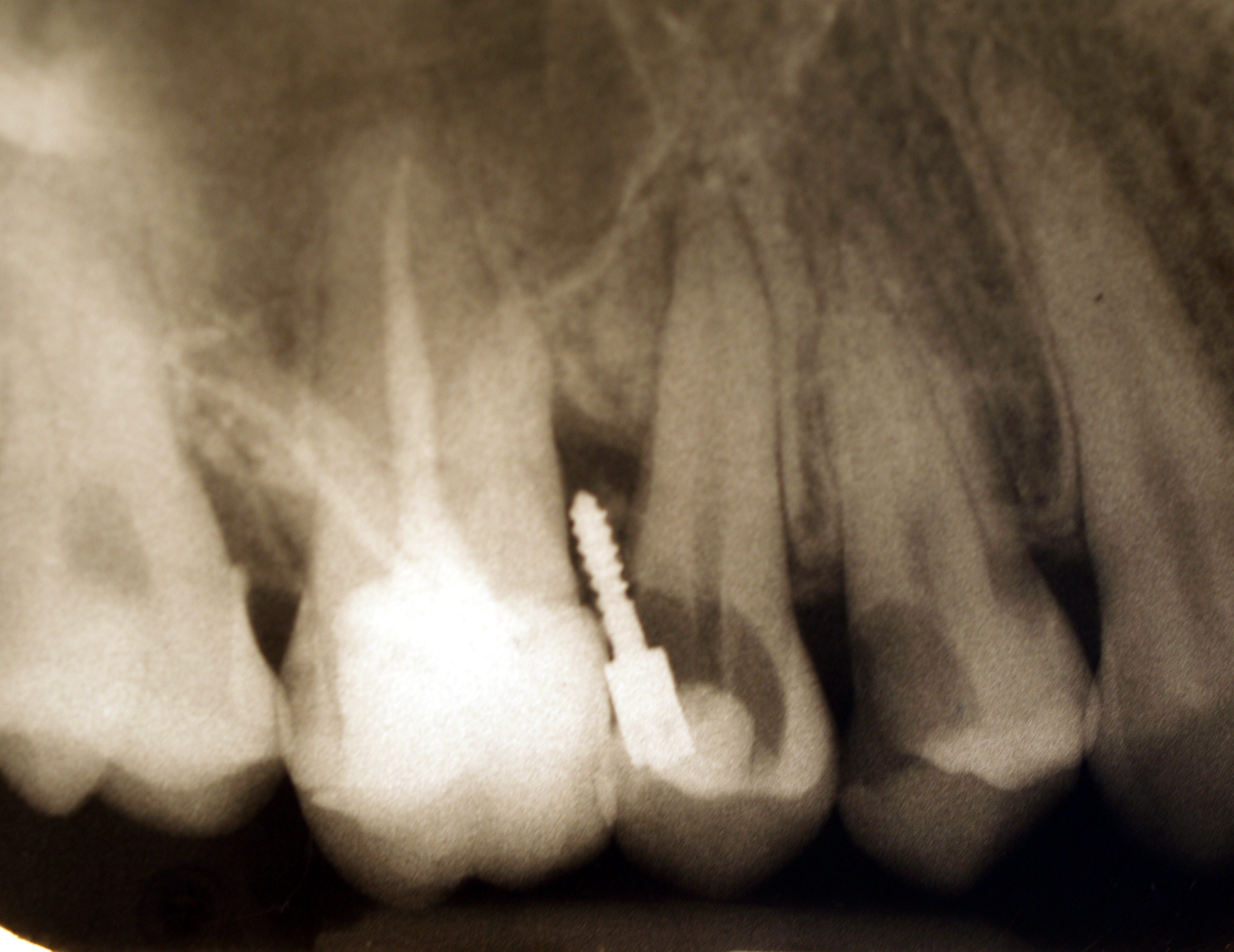
Naprawa i usuwanie wkładów koronowo-korzeniowych - galeria

(str. 1 z 2)

























Strona
- 1 - 2 -
Ten serwis używa plików cookies zgodnie z Polityką Cookies. Brak zmiany ustawienia przeglądarki oznacza jej akceptację.